Odontotecnici con laboratorio a Novara
Per urgenze chiama il +39 347 6405881
Il Laboratorio Odontotecnico Giannini Giorgio è al vostro fianco per consigliarvi la tipologia di trattamento o intervento ideale per risolvere in modo efficace problematiche di ogni tipo a carico dei denti.
Contatta il laboratorio
Gli odontotecnici della struttura si servono di tecnologie e strumentazioni all’avanguardia per offrire il massimo dei risultati.
Tecnologia CAD/CAM
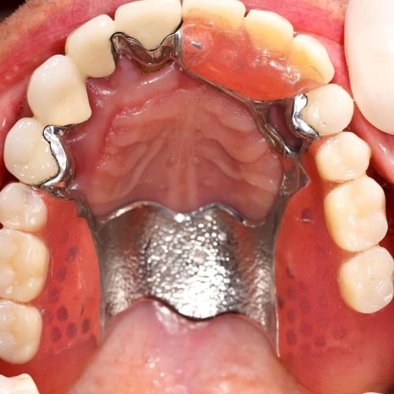
Tra le attività che distinguono il laboratorio odontotecnico dagli altri della zona vi sono la riparazione immediata, la realizzazione di protesi in Breflex, di protesi mobili, scheletriche, fisse e su impianti mobili e fissi, la duplicazione di protesi mobili (dentiere) e la messa a punto e riparazione di apparecchi ortodontici fissi e mobili per adulti e bambini.
Il laboratorio ha scelto la Tecnologia CAD/CAM al fine di coniugare la biocompatibilità alle già presenti caratteristiche di estetica e funzionalità, mettendo a disposizione dell’odontoiatra tutto ciò che di meglio offre oggi l’innovazione tecnica e scientifica in questo settore. Questa tecnologia permette uno studio accurato della necessità del paziente, in quanto si avvale di un macchinario elettronico estremamente preciso, capace di assicurare a ogni paziente il miglior risultato possibile, permettendogli di riscoprire la gioia di una bocca sana e la voglia di ricominciare a sorridere.
Prestazioni odontotecniche
Nello specifico, gli odontotecnici del laboratorio di Novara si occupano di:
- costruzione di protesi fisse;
- costruzioni di protesi mobili;
- costruzione di protesi scheletrate;
- duplicazione di protesi;
- lucidatura di protesi;
- apparecchi ortodontici mobili;
- riparazione della protesi dentaria;
- costruzione di bite;
- costruzione di corone in ceramica;
- costruzione di faccette dentali;
- estetica dentale.
- tecnica CAD/CAM;
- protesi in Brefglex;
- costruzioni di protesi fisse e in compositi.





